Próteses Dentárias na Mooca com estética, conforto e segurança
Volte a sorrir com confiança. As próteses dentárias devolvem a função mastigatória e a harmonia do sorriso, sendo indicadas para quem perdeu um ou mais dentes.
Atendimento particular. Não aceitamos convênios.
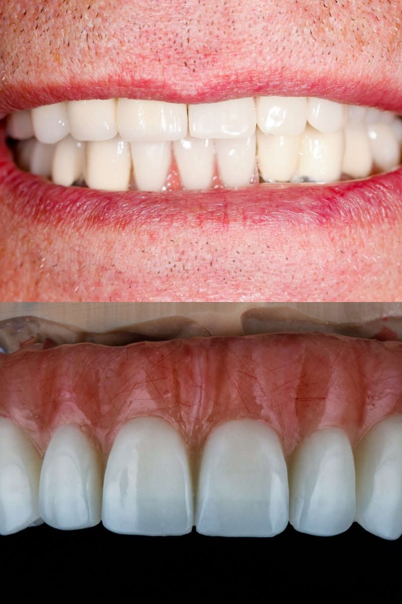
A prótese é uma estrutura que substitui um ou mais dentes ausentes. Ela pode ser fixa ou removível, total ou parcial, sempre com o objetivo de restaurar a função mastigatória, a estética e a saúde bucal.
Próteses são indicadas para pacientes que perderam dentes e desejam recuperar o sorriso, a fala e a mastigação. Existem diferentes tipos de prótese — e, na H Paraventi Odontologia, indicamos a mais adequada para cada caso, de forma personalizada.
Fixada diretamente nos implantes, essa é a solução mais moderna e estável. Permite uma mastigação mais eficiente e estética próxima ao natural.
Indicada quando o paciente ainda possui alguns dentes naturais. É uma opção mais acessível, com boa funcionalidade.
Utilizada quando todos os dentes da arcada foram perdidos. Pode ser removível ou apoiada em implantes para mais segurança.
As próteses dentárias são uma excelente opção para quem deseja recuperar a função mastigatória, a estética e a qualidade de vida após a perda de dentes. Conheça os principais benefícios:
Atendimento particular. Não aceitamos convênios.
Nosso processo é humanizado, bem planejado e sem surpresas:
Entendimento do histórico, exames e definição do melhor tipo de prótese para seu caso.
Coletamos as informações para confecção da prótese, priorizando conforto e estética.
Garantimos adaptação e funcionalidade, ajustando cada detalhe com você.
Realizamos as orientações de uso e seguimos acompanhando sua adaptação e bem-estar.
Centenas de pacientes satisfeitos ao longo das décadas. Veja o que eles dizem sobre nós no Google!
Publicado em rosana angelica de paula coutoTrustindex verifica se a fonte original da avaliação é Google. Sensacional. Minha dentista é a Dra Cinthia , que tem tratado da minha doença periodontal como ninguém.Publicado em Marcos BispoTrustindex verifica se a fonte original da avaliação é Google. Excelente Clínica, atendimento fantástico por todos.Publicado em Elen Contente de SantannaTrustindex verifica se a fonte original da avaliação é Google. Atendimento excelente da recepção aos dentistas. Tratamento sensacional. Recomendo a clínica.Publicado em Juliano PiglieriTrustindex verifica se a fonte original da avaliação é Google. Já passo na H Paraventi Odontologia a muitos anos e como sempre tenho sempre um ótimo atendimento, ambiente agradável e limpo com profissionais capacitados para nos atender bem. Estou bastante satisfeito com a prestação de serviços da clínica H Paraventi.Publicado em Marcos mTrustindex verifica se a fonte original da avaliação é Google. Ótima clínica com ótimos profissionais muito atenciosos.Publicado em Gabriela Ubrig TonelliTrustindex verifica se a fonte original da avaliação é Google. Sou paciente da dra. Cinthia e do dr. Bruno. Minha mãe também é paciente dos dois. Profissionais excelentes! Além de super experientes, são cuidadosos, atenciosos, simpáticos e explicam todos os procedimentos de maneira clara. Sempre nos sentimos muito confortáveis e seguras em todas as consultas.Publicado em ELIZABETH DE MELLO IMMEDIATOTrustindex verifica se a fonte original da avaliação é Google. Excelente atendimento!! Ótimos profissionais!!Publicado em Vilma HaddadTrustindex verifica se a fonte original da avaliação é Google. Deus te abençoe meu Anjo dos dentes o minha Gratidão!Publicado em Bianca MartinsTrustindex verifica se a fonte original da avaliação é Google. Excelente profissional, nos transmite muita segurança, conhecimento e qualidade. Fiquei muito satisfeita com a qualidade do serviço, espaço e atenção da equipe. Irei sempre e indico a todos que me pedem referências.
Sim! Usamos materiais estéticos e técnicas modernas para garantir um resultado harmônico.
Sim, quando viável, ela oferece mais estabilidade, conforto e durabilidade.
O valor depende do tipo de prótese, materiais utilizados e complexidade. Agende uma avaliação para um plano completo.
É comum sentir um leve desconforto no início da adaptação, mas ele tende a desaparecer rapidamente. As próteses confeccionadas sob medida, com ajustes personalizados, oferecem conforto e estabilidade. Em caso de incômodo persistente, realizamos os ajustes necessários até que o paciente se sinta totalmente adaptado.
Desde 1981, cuidando da saúde bucal de gerações na Mooca com tecnologia, precisão e atendimento acolhedor.
Dr. Bruno haddad Paraventi – CROSP: 88.874
Produzido por JN Soluções
Copyright © 2025. Todos os direitos reservados